Writing a blog was always something I have thought of doing. I am a pro at finding sales on designer clothing online, Queen of coupon codes, and know exactly which celebrity is wearing what designer. I have often thought about what pictures I would have on my blog and which of my favorite shoes I would post about, etc. Never did it cross my mind that I would ever blog about scoliosis and posting pictures of my deformed back. It’s hardly “fashionable” and no coupon code can fix this.
I think the reason why I love clothing and fashion so much is because I use it to hide my body. When I put certain things on, I go from “April, the deformed looking person”, to “April, love your outfit, where did you get it?”. I’ll call it designer camouflage. It makes me feel better and it hides what I desperately try to put out of my mind daily. With my hump on the left side, it has become increasingly hard to hide under clothing. The more my body twists and curves, I find myself getting very creative with what I choose to wear. And for what? So Friends and random strangers don’t think of me any differently? I’m not going to lie. It was excruciatingly hard to post those pictures of my unclothed back for the world to see. However, the outpour of beautiful messages from friends and random strangers around the World has helped make that easier on me.
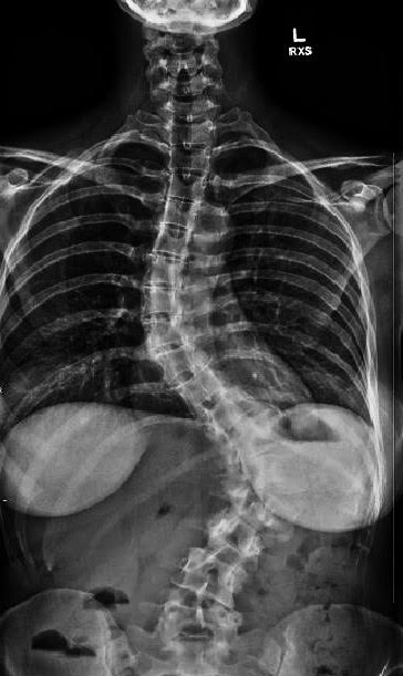
So today instead of posting about my love for Lululemon Striped Wunder Unders, I am posting some x-ray pictures, that I am sure you have all been dying to see. I waited impatiently for this CD to show up in the mail so I could finally post them and although it wasn’t a new pair of J brand jeans or an amazing spring blouse, I was still super excited to finally get it in the mailbox. Weird, right? Of course, once I actually look at them, its depressing and horrible. Not only does my spine curve side to side in an S, but it also curves front to back which is what causes my hump and is called Kyphosis. What you can’t see in these pictures is how my spine twists and rotates as well. And if you look really close, you can see my ribs basically rests on my hip bone. Sounds cool, huh?







Thanks for sharing. What you write echoes with me. Did your back hurt during pregnancy and childbirth?
LikeLiked by 1 person
Because I have always been in pretty bad pain, pregnancy and childbirth didn’t really change it. I had a couple epidurals with some of them and it would take 2-3 times for them to hit the right spot. I will say that postpartum every time was when I had the worst pain. That would last a full year of extra aching and pain. With my daughters, I was able to bounce back fairly quicky and still was a bit flexible but with my sons, the arthritis and curves have taken over and my flexibility and the pain is overwhelming.
LikeLike